Dr. Jalil Chraibi
Orthodontiste | Spécialiste Invisalign

Expérience
1
1994-1998
Attaché de consultation au service d'orthodontie. Hôpital pellegrin Bordeaux. Attaché de consultation au service d’orthodontie. Hôpital St André Bordeaux. Pratique de l’orthodontie Linguale.
2
1998
Diplôme universitaire d'orthodontie Bordeaux.
3
2000
Formation continue à l'orthodontie Linguale. Barcelone.
4
2002
Formation continue à l'orthodontie Linguale. Paris.
5
2010
Certification à la technique Invisalign. Monaco.
6
2014-2015
Platinum Praticien - Invisalign.
7
2017
Leader Invisalign Provider Africa et Leader Teen.
8
2018-2019
Leader Invisalign Provider Africa.
9
2020
Diamond 2 Praticien Invisalign.
10
2002 - Présent
Exercice privé dans sa propre clinique multidisciplinaire, Clinique Dentaire CIL.
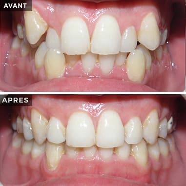
Cas D'Études





